Ronix Segmentation Demo

Сегментация органов на основе медицинских данных

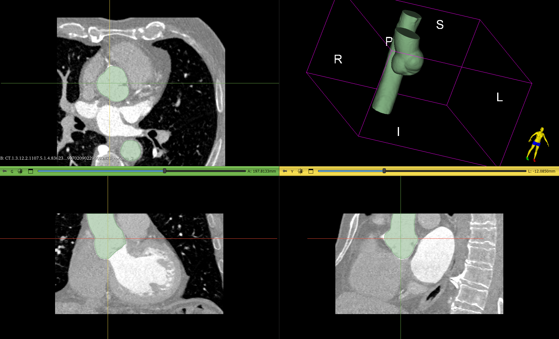
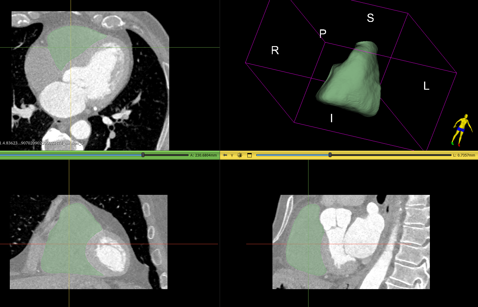
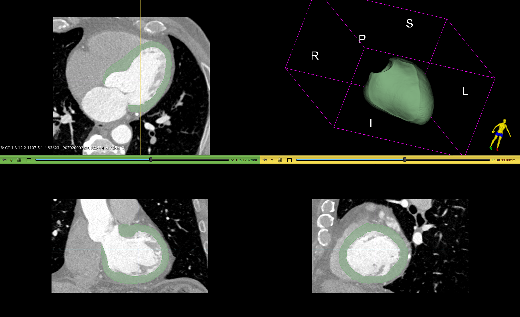
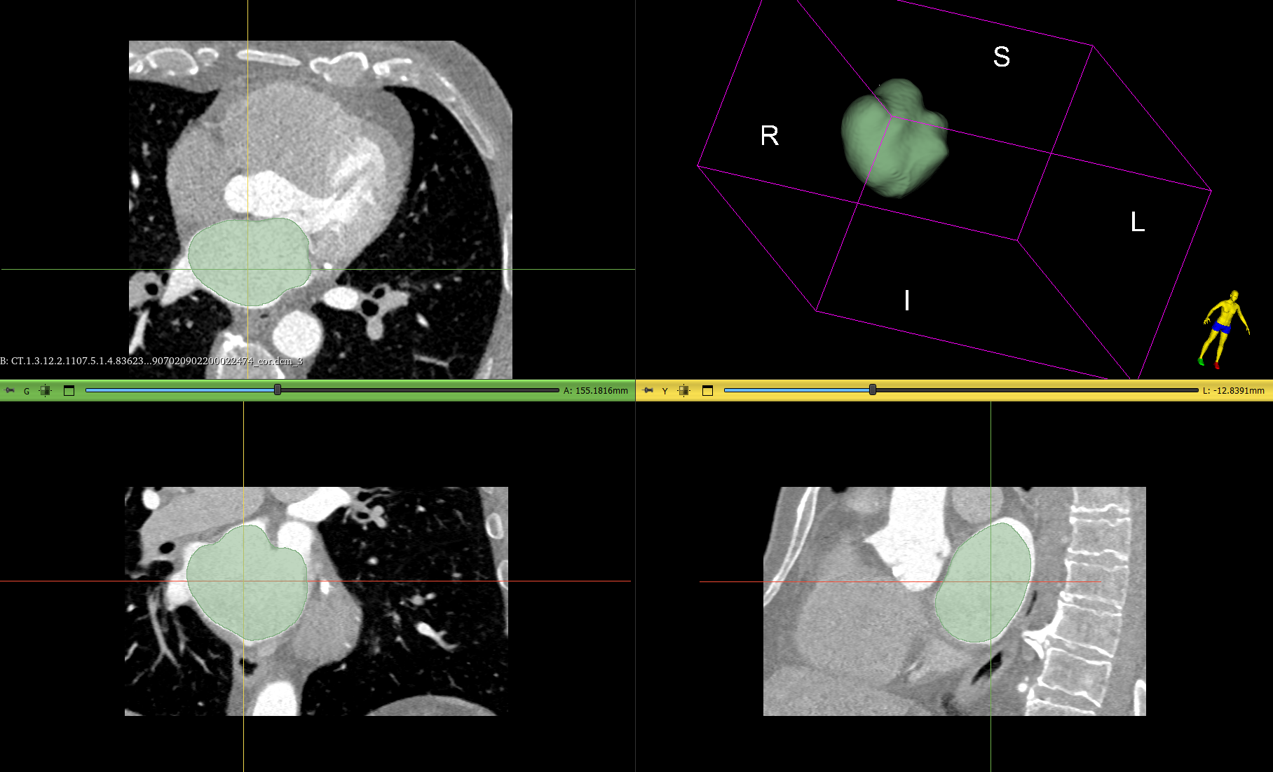
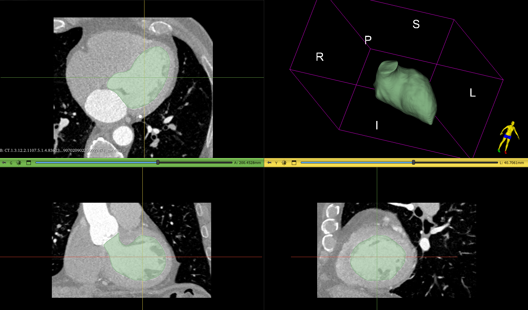
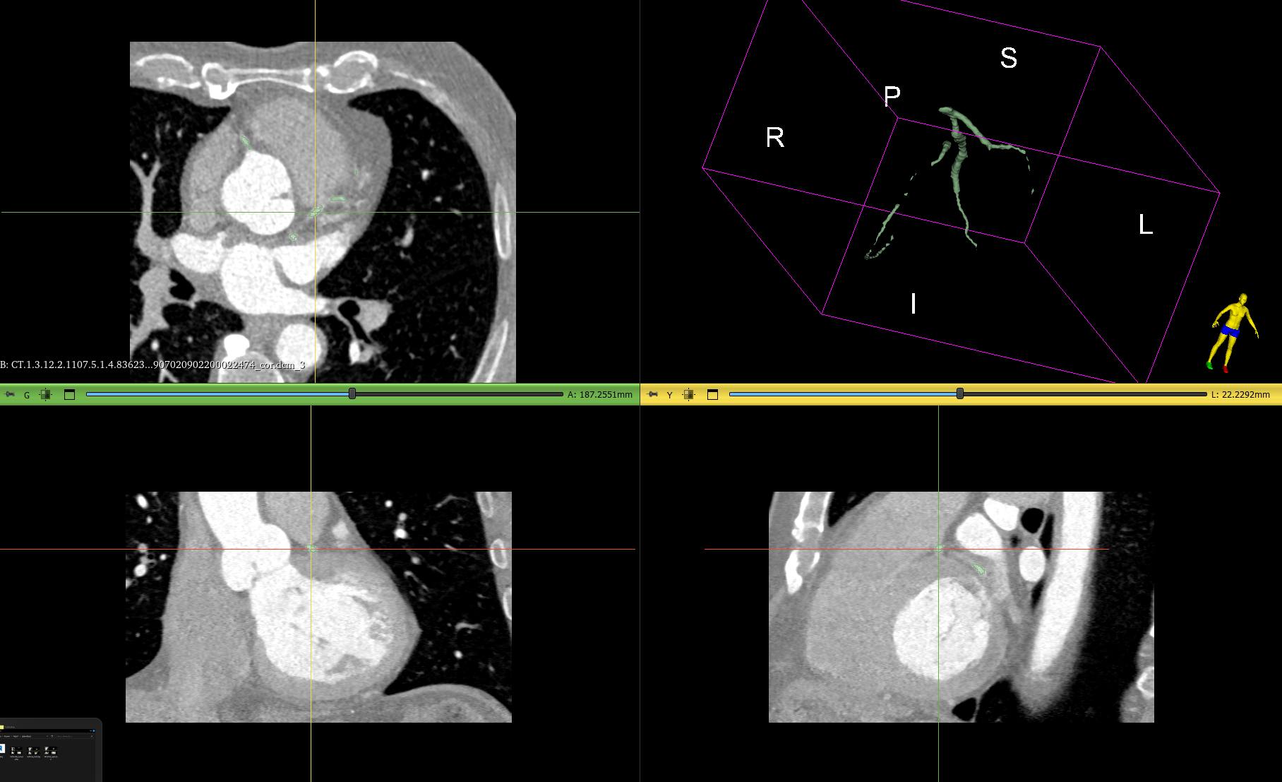
Здесь показаны скриншоты слайсера с результатами разметки. Мы строим пайплайн, который автоматически находит анатомические структуры и помогает быстрее анализировать исследования.

О проекте

КТ / МРТ

Работает с медицинскими исследованиями разного формата и приводит данные к удобному виду для анализа и разметки.

3D сегментация

Автоматически выделяет структуры на серии срезов и собираем объёмные маски для дальнейших расчётов.

Органы и сосуды

Возможность сегментации разных органов и сосудов

Примеры сегментации

Технологии

Python + ML

Современный стек на Python с использованием фреймворка с машинным обучением.

Вычислительное ядро

Единое ядро вычислений можно переиспользовать под разные задачи

Контейнеризация

Запуск одной командой через Docker/Compose: воспроизводимое окружение, быстрый старт и удобный деплой.